Un beso podría causarte esclerosis múltiple: Esto encontraron científicos suecos sobre la mononucleosis
¿Un beso que cambia tu vida? El virus de Epstein-Barr podría ser el culpable de provocarte esclerosis múltiple, según el Instituto Karolinska

Un gesto tan común como un beso puede transmitir el virus de Epstein-Barr, la "enfermedad del beso", vinculado ahora por científicos suecos con el desarrollo de la esclerosis múltiple.
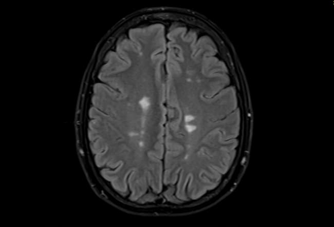
Un estudio reciente del Instituto Karolinska en Suecia sugiere que un simple beso podría ser el detonante de la esclerosis múltiple, una enfermedad que afecta al cerebro y al sistema nervioso.
Los científicos suecos sostienen que la mononucleosis, mejor conocida como la “enfermedad del beso”, es la causante de todo esto. Esta infección es provocada por el virus de Epstein-Barr y, según la investigación, es capaz de generar una reacción en el sistema inmunológico que contribuye al desarrollo de esta condición crónica y neurodegenerativa.
Pero, ¿cómo? El estudio reveló que cuando nuestro sistema inmune intenta combatir el virus, unas células llamadas células T entran en acción. El problema es que, en su afán por protegernos, estas células se confunden y atacan a una proteína del cerebro llamada anoctamina.
TE PUEDE INTERESAR: El enamoramiento: ¿Por qué caemos en el amor y qué tiene que ver con la ciencia?
A este fenómeno se le llama mimetismo molecular. Básicamente, nuestras defensas confunden las proteínas de nuestro cuerpo con las del virus. Es decir, cuando intentan eliminar la infección, terminan atacando a tu propio organismo por error, al no poder distinguir entre el invasor y tú.
En 2026, se estima que al menos 3 millones de personas viven con esclerosis múltiple a nivel mundial. Lo alarmante es que la gran mayoría de estos pacientes se infectó primero con el virus de la mononucleosis.
Nuestros resultados proporcionan pruebas de que las respuestas inmunitarias al virus pueden dañar directamente el cerebro. Se trata de una enfermedad neurológica compleja y los mecanismos pueden variar entre cada paciente.
— Olivia Thomas, investigadora del Departamento de Neurociencia Clínica del Instituto.
Y aunque por ahora no existe una forma de prevenir o curar la mononucleosis, los expertos creen que el desarrollo de una vacuna contra el virus de Epstein-Barr no solo podría prevenir futuros contagios, sino que sería un paso gigante para evitar, o incluso curar, la esclerosis múltiple.
TE PUEDE INTERESAR: Mario Guerra: cómo soltar el amor no correspondido y romper los vínculos unilaterales

Científicos suecos creen que la "enfermedad del beso" engaña a nuestras defensas y puede causar esclerosis múltiple y afectaciones en el cerebro. / Paul Biris




