
Actualidad.


Pronóstico del clima CDMX: Sábado 20 de diciembre de 2025
Doble alerta por bajas temperaturas y heladas en la capital
Lucía Bucio
Christopher Nolan sobre si trabajaría con Netflix: “Nunca”
Christopher Nolan y su confrontación con el modelo de negocio de Netflix frente a la probable compra de Warner
Miguel G. Aragón Moreno
Más Noticias

Perfume de Gardenias. Rafael Hernandez
Interpreta Bienvenido Granda en el disco El Disco de Oro De-Bienvenido Granda

Di Que No Es Verdad. Alberto Dominguez
Interpreta Victor Yturbe en el disco La Más Completa Colección

'El Mañanero' del lunes 19 de mayo, parte II
Escucha lo nuevo de Algarabía y disfruta de la sensual cápsula de La Reata

'El Mañanero' del lunes 19 de mayo, parte I
Escucha la entrevista con el senador Penchyna y viaja en el tiempo con Alejandro Rosas

¿Y cómo van las leyes secundarias de la Reforma Energética?
Alberto Bello, director de Grupo Expansión habla para El Mañanero del tema

León vs Pachuca ¡Que partidazo!
Escucha a Francisco Javier González, experto en fútbol con todos los detalles del enfrentamiento

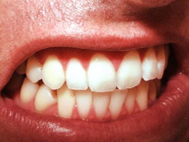
¿Bruxismo?, descubre qué es con Joan Cerezo en 'La Valla Informativa'
Este horrible hábito se está acrecentando en España debido a la crisis

'La Reata' felicita a la periodista y escritora Elena Poniatowska
Escucha la sensual voz de esta belleza en El Mañanero

El PAN como parte de la historia democrática del país
El historiador Alejandro Rosas habla de los inicios y el desarrollo que ha llevado a cabo este partido político

Ley de Telecomunicaciones quedará igual de bien que la Electoral: Penchyna
El senador de el PRI habla de los avances en la serie de reformas del país

¡Que no te sorprenda el tráfico! Reporte vial de 'El Mañanero'
Escucha cómo se encuentran las principales calles del país

León obtiene su séptimo título con la Liga MX
Escucha todos los pormenores de la final de la Liga
'Chamacos' ¿Qué está pasando en el mundo? Entérense con 'El Mañanero'
Escucha cómo amanecieron los periódicos, los estados y las redes sociales

Adriana Paz nos habla de la película "Las horas muertas"
La actriz Adriana Paz, nos cuenta todos los detalles sobre la cinta Las horas muertas y su experiencia al trabajar con el director Aarón Fernández.

Gonzalo Soltero habla sobre su novela "Nada me falta"
En cabina Gonzalo Soltero define a su obra como una road movie textual.

Héctor y Fernando Bonilla presentan la obra "Almacenados"
Almacenados narra la historia del señor Lino, quien después de trabajar 29 años para un almacén se jubilará, en esta obra actúan Héctor Bonilla y Sergio Bonilla y la dirige Fernando Bonilla

De Fin de Semana celebramos el Día internacional de los museos
Como cada 18 de mayo se celebró el día internacional de los museos y nos acompaño en cabina Sergio Rivera, director de comunicación y relaciones públicas del MIDE

Disfruta de lo menos peor de la semana en 'El Mañanero'
La visita de César Évora, la Mesa Económica hablando de la recesión en México y la divertida Valla Informativa

"La Jaula de Oro" en la voz de su director
El director de la película La Jaula de Oro , Diego Quemada Diez, nos explica lo que fue filmar esta cinta sobre la travesía de los migrantes

Clase Turismo con Marco Daniel Guzmán
Marco Daniel Guzmán, creador del blog viajabonito.com, nos dice que es lo que las asistentes aéreas odian de los turistas.

Automóvil W: Los autos chocolate
Nuestro colaborador de Automóvil W, Javier Barranco, nos explica todo lo que pasa con los autos chocolate.

Gary Alazraki te invita a ser guionista
Gary Alazraki, guionista y director de la película Nosotros los nobles nos invita a su próximo seminario de guionismo

En aumento crímenes por Homofobia en México
Alejandro Brito, integrante de la Comisión Nacional de Crímenes por Homofobia comenta que el 2012 ha sido el año con más casos registrados de esta índole

Especial: Radiografía de la Homofobia en México
Escucha el programa conducido por Eduardo Iniesta donde encontrarás un análisis respecto a este tema desde todas las perspectivas

Especial: Radiografía de la Homofobia en México
Escucha el programa conducido por Eduardo Iniesta donde encontrarás un análisis respecto a este tema desde todas las perspectivas
Página148



